気になるお口の中のできもの
こんにちは。 桐生市、みどり市、太田市、足利市からも通いやすいMM歯科・矯正歯科、 院長の真下です。
ただの口内炎かしら?でもちょっと違う、、こんなお口の中のできものに悩まれる方はいませんか?
当院にはそういったお悩みを抱えて来られる患者さんも多いです。
お口の中のできものといっても様々ですが、その中でも多い症例は以下の通りです。(あくまで私個人の印象です。)
①アフタ性口内炎
②粘液嚢胞
③線維腫
①アフタ性口内炎はいわゆる一般的言われている「口内炎」です。唇やほっぺ、歯茎などにできる小さく丸い潰瘍のことをいいます。多くは1週間程度で治ります。しかし、2,3週間治らない場合はご相談ください。この手の病気は見た目と早期発見が重要です。受診して頂き、その時の症状によって対応を検討します。
アフタ性口内炎の場合はステロイド軟膏の塗布で経過を見ることが多いです。

②粘液嚢胞は唇やほっぺの内側にできる半透明の膨らみが特徴です。膨らんではつぶれてを繰り返したり、数週間消えないはような膨らみは粘液嚢胞が疑えます。積極的に受診して精査しましょう。これも見た目が重要で、これらは大概、受診された際に臨床診断できます。当院ではこの症例が中でも一番多い印象があります。
処置としては局所麻酔下に摘出を行います。摘出したものは病理検査に出して確定診断を行います。

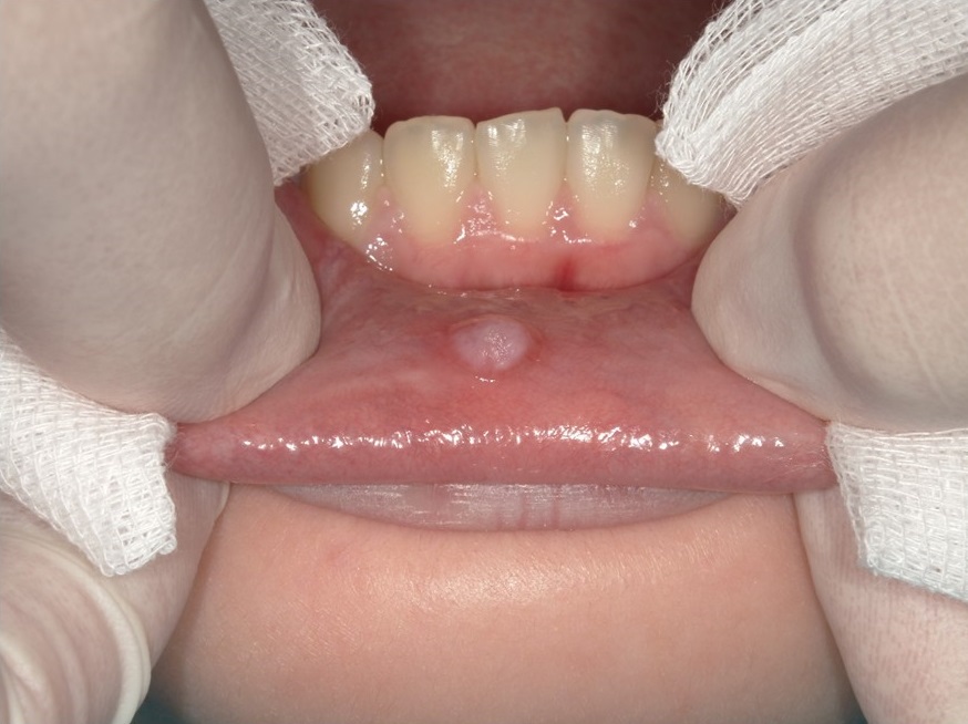
③線維腫はいわゆる「良性腫瘍」に分類される症例です。
一概には言えないですが、街の歯科医院で確認されるほとんどの腫瘍がこれにあたるのではないでしょうか。腫瘍というと不安になられる方が多いと思いますが、悪性化することはほとんどないためさほど心配はありません。
この症例も唇やほっぺなど、よく咬んでしまう部位の組織が増殖してできるもので、視診と触診である程度臨床診断が可能ですが、脂肪腫や乳頭腫など(どちらも良性腫瘍)の腫瘍との鑑別のため、切除して病理検査での確定診断が必要です。

このようにお口の中のできものはいくつかありますが、どれもある程度は視診で診断できる良性のものが多いです。もちろんこれ以外にも様々症例があり、悪性の物もいくつもあります。
近年では芸能人の罹患によって、舌癌の存在が一気に世に広まりましたが、舌癌をはじめ口腔内にできる癌は全身の癌の1%といわれています。
よってお口の中のできものに対し、むやみやたら心配はしなくていいとは思いますが、お口はとても敏感な組織なので、一度気になってしまうとなかなかほっとけなくなってしまうものです。心配な時はすぐに受診をお勧めします。悪いものではないとわかっただけで気にならなくなるものです。
当院で摘出または切除した検体は、契約している検査機関に当日中に提出し、積極的に病理検査を行っております。もちろん保険適応です。
もし気になる症状があった場合はMM歯科・矯正歯科までいつでもご来院ください。お待ちしております。