お口のメンテナンスしてますか?
こんにちは。 桐生市、みどり市、太田市、足利市からも通いやすいMM歯科・矯正歯科、 院長の真下です。
皆さんは定期的に歯医者さんに通っていますか?
歯医者さんて、歯が痛かったり、不具合がないとなかなか行かないものですよね。
正直自分も歯医者になる前はほとんど行くことがありませんでしたし、定期的に歯医者に行くという感覚すらありませんでした。
世の中の方は多くがそういうイメージなんだと思います。
しかし一度、歯医者に行って歯のクリーニングをすると意識がガラッと変わる方がよくいらっしゃいます。
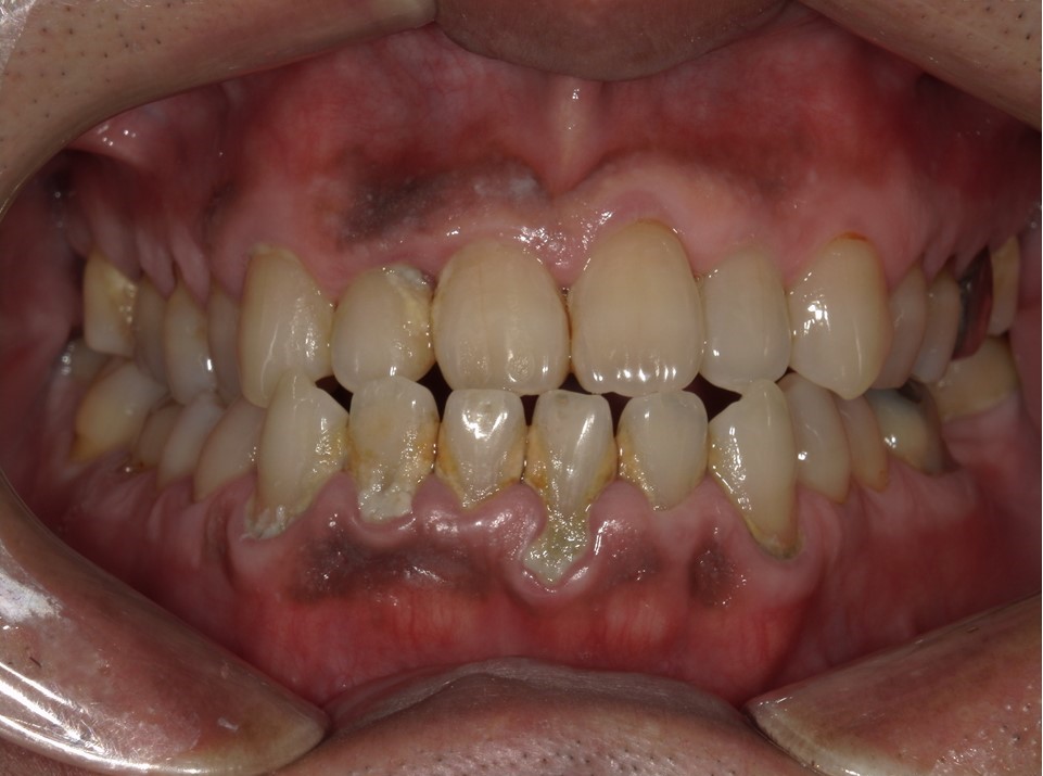
症例をご紹介致します。

この方はもう10数年ぶりくらいに歯医者に来られた方で、歯石という石灰化して硬くなってしまった汚れがたくさんついて歯茎も腫れ、歯茎から出血しやすい状態でした。
当院では初診時に口腔内写真を撮影させていただいているので、この写真をご本人にもお見せし、現状を理解していただいた上でクリーニングをしていくこととなりました。
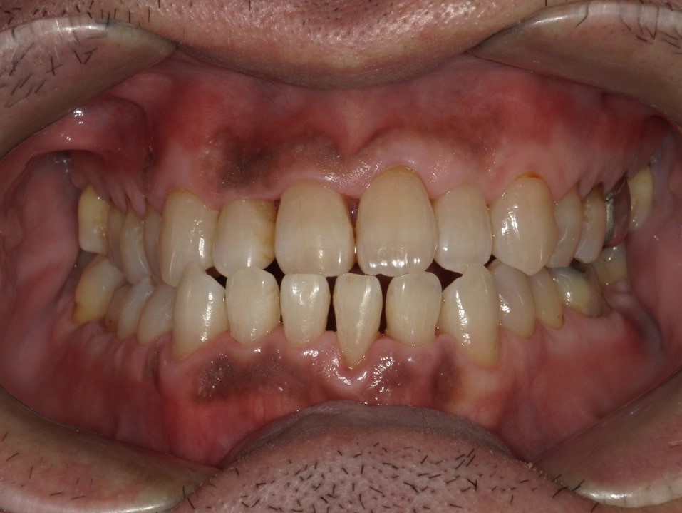
そしてこちらが何回かクリーニングをした後の状態です。

明らかに歯茎の色や形がきれいになっているのがわかります。これをご本人に見てもらい、初診時と比べてもらうとその変化に驚きと喜びがあふれていました。
こういった視覚的な変化を確認できると患者さんはモチベーションが上がるんです。この方は以前と比べて口腔内への関心が高まり、その後、定期的にメンテナンスで通っていただくこととなりました。
このように定期的にお口のメンテナンスを行うことで、見た目もきれいになるし、口臭も気にならなくなったという方が数多くいらっしゃいます。
定期的に美容室や理容室で髪を切って頭を洗ってもらうのと同じような感覚で、歯医者さんでお口のクリーニングをしてみてはいかがでしょうか?また近年では新型コロナウイルスで騒がしい時代に、お口のケアで免疫力を上げていくなんて考え方もあります。
歯医者さんに最近行っていないという方、ぜひ一度お口のメンテナンスのため受診してみてはいかがでしょう?
MM歯科・矯正歯科はいつでもお待ちしています!!