口の中の出っ張り、気になっていませんか?
こんにちは。 桐生市、みどり市、太田市、足利市からも通いやすいMM歯科・矯正歯科、 院長の真下です。
口の中の出来ものの訴えの一つで、口の中の出っ張りを気にされてくる方がときどき見られます。
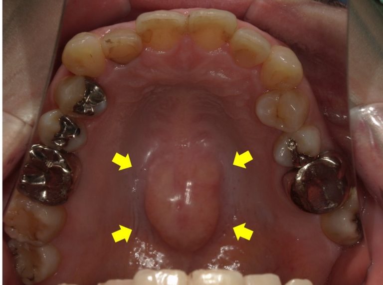
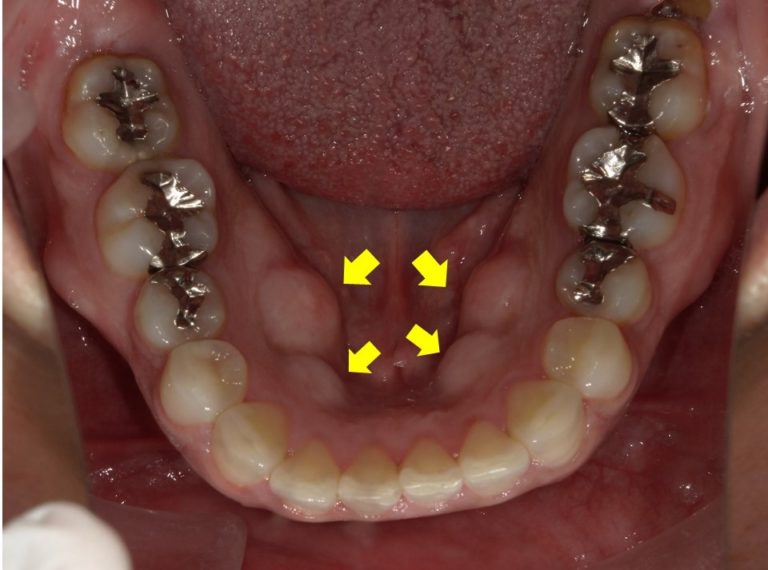
主に上あごと下あごの裏側です。


これらは骨隆起といって、ただの骨の出っ張りです。
原因は諸説ありますが、一般的に言われているのは、歯ぎしりや食いしばりなどにより顎の骨へ過度なストレスがかかる反動で、骨が添加されたのが原因とされています。
よって病理学的には病気というわけではないため、特に治療の必要はありません。
しかし状況によってはこの骨隆起、、とらなければならないことがあるんです!
それは入れ歯を入れなければならない場合です。
症例をいくつかご紹介します。
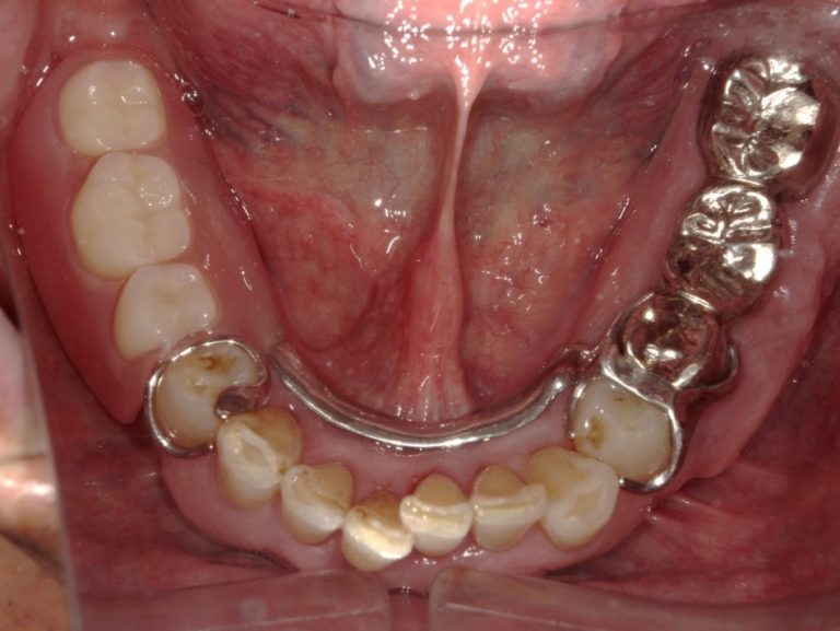
症例①
主訴:右下の奥歯が膿んでいて痛い

もともとこの方は右下のブリッジがだいぶ炎症をおこしていて、抜歯をせざるを得ない状況でした。
しかし、抜歯後どうするか?という問題が予想されました。
基本的には入れ歯を選択することが多いのですが、この方の場合は、下あごの裏側に骨隆起(下顎隆起)があったので、入れ歯を入れるのに妨げになってしまうことが予想されました。
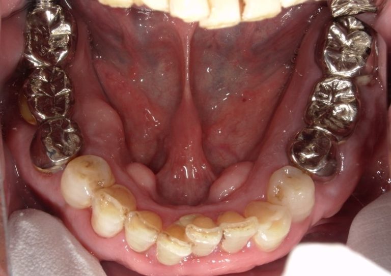
よって、右下ブリッジの抜歯後、骨隆起の整形術を行うこととしました。
術後です。
この手の入れ歯は反対側にもクラスプというバネを伸ばしてあげないと維持が悪いので、どうしても骨隆起のところに装置を持って行きたくなります。
骨隆起を整形したことで、理想通りの入れ歯を装着すること出来ました。
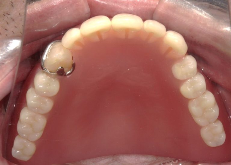
症例②
主訴:入れ歯がほしい
この方は、今まで入れ歯を入れたことがないという方で、初めての入れ歯を作る流れでした。

右上3番が一本だけ残っていて骨質もよく、その歯を使って部分入れ歯を作る方針でしたが、口蓋部分の大きな骨隆起が気になりました。
部分入れ歯であれば、この骨隆起を避けて設計出来なくもないのですが、この手の入れ歯の場合、将来的に右上3番がだめになり、総入れ歯になる可能性が非常に高いです。
そのため、現時点で作製する部分入れ歯から総入れ歯を想定して入れ歯を作ることを考え、骨隆起の整形術を行いました。
結果、このように口蓋は平らになり、入れ歯も無事装着することが出来ました。
口の中の出っ張りである「骨隆起」、、
普段はなんでもない骨の出っ張りですが、入れ歯が必要になった場合は削合しなければならなくなることがあります。
骨の出っ張りが気になっている方は、入れ歯にならないために、より一層歯を大事にするための歯磨きを頑張った方がいいかもしれませんね。
今回の症例の部位以外でも骨隆起は見られることがあります。何かお困りの方はMM歯科・矯正歯科までご相談ください。



