いろいろな形の親知らず
こんにちは。 桐生市、みどり市、太田市、足利市からも通いやすいMM歯科・矯正歯科、 院長の真下です。
最近、当院では親知らずを抜きにくる患者さんが増えています。
大学病院の口腔外科での経験を生かし、日々安心安全な親知らず抜歯を行っています。
数多くの親知らずを抜いているといろいろな形の親知らずに出会います。シンプルな物から複雑な物まで形は様々です。
今回は紹介するのはとっても根っこがひん曲がった上の親知らずです。
パノラマX線写真ではこう。

左下6番7番の治療後、もともと挺出して本人も気になっていた左上の親知らずを抜歯する流れになりました。
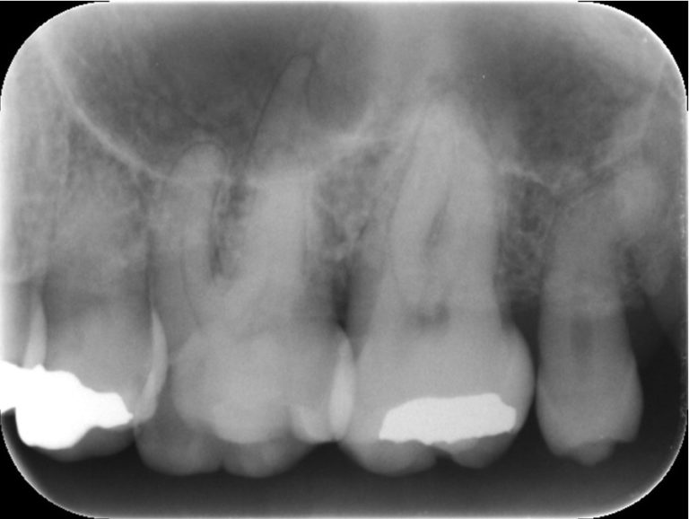
パノラマでは根っこの感じがあまりはっきりしません。
親知らずを抜くときは見えている頭の部分よりも根っこの形が最も重要です。
半分埋まっているとか、横向いて生えているとかは正直問題ではありません。
すべての鍵を握るのは根っこの形態なのです!!
なので抜歯の際はもっと限局的に診断するためにデンタルX線写真も撮影します。

こうして初めて、「あれ、この親知らずは意外と手強いかもな」と考えるのです。
一見、小臼歯のような小さな親知らずで、簡単に抜けそうですが、根っこの形態を確認すると、遠心方向にかなり曲がっていました。
こういった場合、慎重に力を加えないと根尖が折れてしまって面倒なことになる場合があります。
ゆっくりと力を加え慎重に抜歯を行い、無事に折れることなく抜歯できました。

レントゲン通り、だいぶ曲がった親知らずでした。
今後も面白い形の親知らずがあればご紹介していこうかなと考えています。
(まあ、そんな物興味がない方が多いかもしれませんが、、笑)
今後ともMM歯科・矯正歯科を宜しくお願い致します。