子供の仕上げ磨きにフロスを!
こんにちは。 桐生市、みどり市、太田市、足利市からも通いやすいMM歯科・矯正歯科、 院長の真下です。
みなさん、お子さんの仕上げ磨きをしてあげていますか?
子供は大人と比べて手先も器用ではないため、頑張って磨いていても実際はあまり磨けていないことが多いです。そのためお父さんお母さんが最後に仕上げ磨きをしてあげることが、磨き残しを防ぎ、健康な歯を保つためにとても重要です。
近年は予防を重要視する時代ですので、子供の虫歯は20年程前と比べると格段に少なくなっていると言われています。フッ素塗布なども一般的になり、定期的にフッ素を塗布しに来られるお子さんは多いです。
当院ではフッ素に加え、予防治療として「シーラント」を行っています。シーラントとは汚れが停滞しやすい奥歯の溝の凸凹を埋めて、虫歯菌が繁殖しないようにするものです。

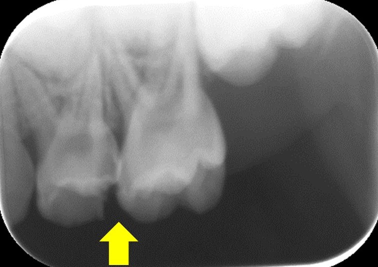
しかし、シーラントやフッ素で虫歯の予防をしたのにも関わらず、次の検診の時に虫歯になってしまっているお子さんがときどき来られます。
そんなお子さんに特徴的なのは虫歯の部位です。大半は奥歯の歯と歯の隙間に虫歯ができてくるケースが非常に多いのです。
なぜならお口の汚れは奥歯と奥歯の隙間にも停滞するからです。
歯と歯の間の汚れはフロスを通さないと完全に取れませんし、もともと子供の歯は大人よりも隙間が開いていることが多いので、どうしても汚れが停滞しやすく、磨き切れていなく、虫歯になってしまいやすいのです。
そこで最近では小児用のデンタルフロス、その名も「フロッシー」が当院では人気です。

味付きの歯磨き粉のように、フロスそれぞれにいろんな果物のフレーバーがついているので、毎日味を変えて楽しくフロスを通せるアイテムです!
隣接面う蝕の予防にフロスは必須です。お父さん、お母さん、お子さんの仕上げ磨きの際にぜひフロスを使用して、歯と歯の間を磨いてあげてください!

