その銀歯、保険で白くできるかも!?
こんにちは。 桐生市、みどり市、太田市、足利市からも通いやすいMM歯科・矯正歯科、 院長の真下です。
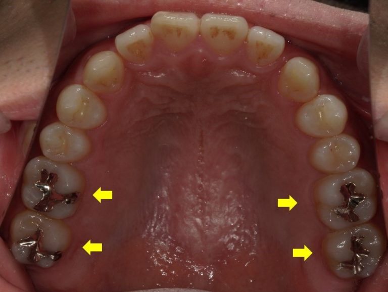
奥歯の銀歯が気になっている方はいませんか?
白くしたいけど、白い歯にするには自費診療だから高いでしょう?とお考えではないですか?
たしかに歯を白くする際にはセラミック治療といって自費診療になってしまうケースは少なくありません。
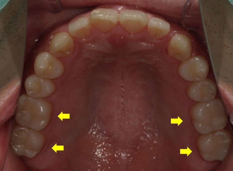
しかし、最近では保険診療でも奥歯に白い被せ物ができる流れが進んでいます。
一部条件はありますが、いわゆる4番、5番、6番の歯については白い被せ物も可能となってきました。
また被せ物以外の詰め物については、当院では隣接面といって歯と歯の間まで虫歯になっていない場合ではあれば、積極的に保険の白い詰め物(コンポジットレジン)で修復するようにしています。
(隣接面のコンポジットレジン修復は当院では状況によって行いますが、選択できない場合もあります。それは技術的な難しさや予後のことを考えての判断です。)
このように保険診療でも口腔内の条件によっては白く、きれいに治せるのです。
数年前やむなく入れた銀歯を今は保険で白くできるかもしれません。そう考えると少し希望がわきませんか?
少し話がズレますが、そういう意味では日本は医療保険制度にとても恵まれていると思います。以前アメリカに住んでいる友達がアメリカの歯科医院で虫歯の治療を2本したらそれで15万円したと言っていました。話を聞くと日本だったら保険で1万円もかからないのではと思うケースでした。
もちろん、ケースによっては保険診療で白くきれいに治すには限界があり、審美性を追求する自費のセラミックを選択しなければいけないことも多いのは事実ですが、ここ日本で歯科医師をやっている以上は、なるべく保険診療で患者さんに笑顔になってもらいたいと思って日々診療しています。(なんて。ちょっとかっこつけてみました。笑)
もし銀歯が気になっている方がいましたらいつでもご相談ください。患者さんが納得いくまで相談に乗ります。お待ちしております。



